24小时急救健康热线:
0825-2222120
24小时投诉电话:
15309067120
欢迎访问遂宁市第三人民医院(网站支持IPV6)
3月7日,我院心血管内科出现了暖心感人的一幕,家住蓬溪县的胡大爷带着三面锦旗来到心血管内科,激动地说:“我真的要谢谢你们,是你们给了我第二次生命。”

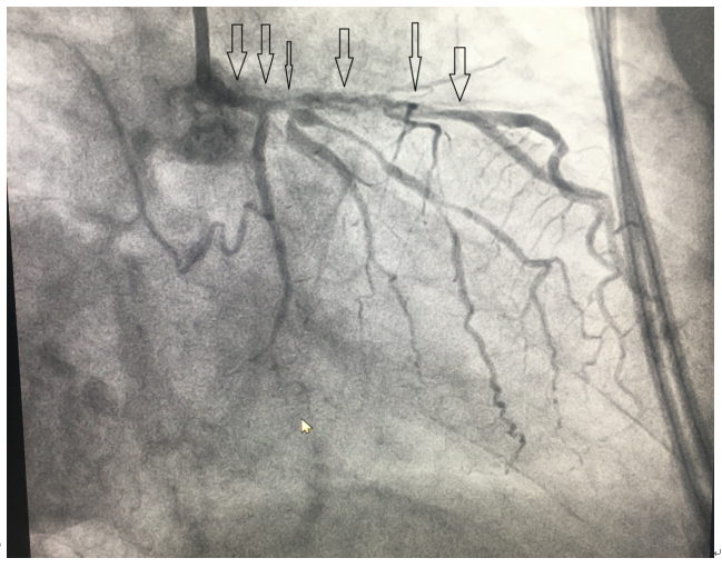
80岁胡大爷,因“活动后心累、气紧1+年,加重1周”收治心血管内科,药物治疗无好转。科内组织讨论,2月24日在数字化血管造影机下行冠脉造影,发现“左主干全程钙化,中段重度狭窄,狭窄50-60%;前降支近段及中段重度狭窄伴重度钙化,最狭窄90%-95%;中间支弥漫性重度狭窄”。
根据造影结果看,病变非常严重,介入处理累及左主干和前三叉的病变属于非常高危的操作,建议首选外科开胸处理。但胡大爷不想去外科搭桥,信任我们,愿意做冠脉介入治疗。郑全副主任医师、龙泉杉主治医师、梁婷主管护师,用三枚支架撑起了关键点,圆满完成手术。

(一)造影结果

(二)球囊扩张狭窄病变

(三)支架植入

(四)支架植入后效果
术后的胡大爷心功能好转,说:“我之前吸起氧,不动都上气不接下气,吃个饭、说个话都累。现在不吸氧,走路说话也不累,我那个老拐杖都只有留着做纪念咯!”。
医患是生命的共同体,惟有信任,才能共赢。一面面熠熠生辉的锦旗,承载着患者对我们的信任和感激,象征着医患情深,收获的不仅仅是一份荣誉,更是一份期望、一份鞭策、一份信任,心血管内科将以此为动力,更加努力地为每位患者提供更加优质的服务。