关闭
24小时急救健康热线:
0825-2222120
24小时投诉电话:
15309067120
欢迎访问遂宁市第三人民医院(网站支持IPV6)
中文域名:遂宁市第三人民医院.公益
立即查询
首页
|
医院概况
医院简介
领导班子
就医环境
高新设备
医院荣誉
|
就医指南
科室导航
名医荟萃
门诊排班
重点专科
楼层分布
就医流程
住院服务
急诊服务
健康体检
|
医院新闻
医院要闻
媒体报道
医学动态
健康科普
医患之窗
|
护理园地
护理文化
科教动态
下载专区
|
科研教学
科研成果
论文发表
学术任职
科教动态
学术动态
|
医保之窗
医保动态
医保指南
|
专题栏目
学习党的二十大精神
服务百姓健康行动
文明城市/单位工作
人才服务工作站
|
党建工作
党务公开
组织构架
党支部建设
廉政文化建设
工会之家
共青团建设
女工园地
|
院务公开
通知公告
行政组织构架
学术会议
医共体建设
|
招聘招标
招聘信息
招标采购
|
医院文化
医院文化理念
医院院报
廉政家风
|
三级医院创建
组织机构
通知公告
工作动态
首页
医院概况
医院简介
领导班子
就医环境
高新设备
医院荣誉
就医指南
科室导航
内科系统
外科系统
医技系统
门诊系统
行政后勤
其他机构
名医荟萃
大内科
大外科
门诊急诊
医技
门诊排班
重点专科
楼层分布
就医流程
住院服务
急诊服务
健康体检
医院新闻
医院要闻
媒体报道
医学动态
健康科普
医患之窗
护理园地
护理文化
科教动态
下载专区
科研教学
科研成果
论文发表
学术任职
科教动态
学术动态
医保之窗
医保动态
医保指南
专题栏目
学习党的二十大精神
服务百姓健康行动
文明城市/单位工作
人才服务工作站
党建工作
党务公开
组织构架
党支部建设
机关第一党支部
机关第二党支部
机关第三党支部
机关第四党支部
后勤第一党支部
后勤第二党支部
后勤第三党支部
退休党支部
放射影像科党支部
功能检验支部
急危重症党支部
门诊·心血管·内分泌党支部
中医·皮肤·针灸科党支部
五官中心支部
呼吸中心党支部
妇儿中心党支部
泌尿中心党支部
神经·麻醉中心党支部
凯旋路社区卫生服务中心党支部
育才路社区卫生服务中心党支部
骨科中心党支部
消化中心党支部
消毒供应室党支部
廉政文化建设
工会之家
工会制度
工会活动
工会荣誉
共青团建设
女工园地
院务公开
通知公告
行政组织构架
学术会议
医共体建设
招聘招标
招聘信息
招标采购
医院文化
医院文化理念
医院院报
廉政家风
三级医院创建
组织机构
通知公告
工作动态
厚德精业
施医弘仁
当前位置:
首页
>>
医院新闻
>>
医院要闻
医院要闻
|
媒体报道
|
医学动态
|
健康科普
|
医患之窗
热门
【三医视界】一周资讯速览(3.23-3.27)
【三医视界】一周资讯速览(3.9-3.13)
【三医视界】一周资讯速览(3.2-3.6)
节后第一天:“满格”状态,市三医院全力护航节后就诊高峰!
祝贺!他受到省委、省政府公开表彰!
揭牌!国家级肾绞痛中心落户遂宁市第三人民医院
推荐
【三医视界】一周资讯速览(3.23-3.27)
【三医视界】一周资讯速览(3.9-3.13)
【三医视界】一周资讯速览(3.2-3.6)
节后第一天:“满格”状态,市三医院全力护航节后就诊高峰!
超精彩!授课+实战,国家级继教项目“科技赋能基层呼吸慢病管理培训会”在遂成功召开
提质增效 聚力耕新 I 市三医院召开2025年半年工作总结暨预算运营分析会
当前位置:
首页
>>
医院新闻
>>
医院要闻
医院要闻
【党旗引领】筑堡垒、强根基、解难题——2023年书记大查房走起来!
为充分发挥医院党建引领作用,凝聚发展合力,为医院业务工作注入“红色生产力”,进一步深化“三转一提”工作理念,严格落实“知责明责、履责尽责、问责追责”工作要求,守...
2023-08-17
遂宁市第三人民医院传达学习省委第七巡视组巡视船山区工作动员会议精神
8月16日下午6点,市三医院组织召开专题会议,传达学习省委第七巡视组巡视船山区工作动员会议精神。市三医院党...
2023-08-16
遂宁市第三人民医院关于部分诊室临时搬迁的公告
尊敬的市民朋友:为改善医院就诊环境,进一步提升患者的就医体验,医院门诊楼部分楼层将进行升级改造装修。原门诊楼的专家、专科诊室及检查室将于2023年8月18日18...
2023-08-16
平均降幅83.13%,我院执行集采医用耗材中标结果!
8月1日,京津冀“3+N”联盟关节骨水泥类医用耗材集中带量采购中选结果在我市落地实施!我院积极响应国家政策,参与京津冀“3+N”联盟关节骨水泥类医用耗材集中带量...
2023-08-11
我院党委书记何正光接受丁香医管专访
遂宁市第三人民医院位于遂宁城市的正中心,周围市级、三级医院大型医院林立,医疗市场竞争十分激烈。医院一直处于夹缝中求生存的艰难状况,向前向新寻突破,走特色化差异化...
2023-08-11
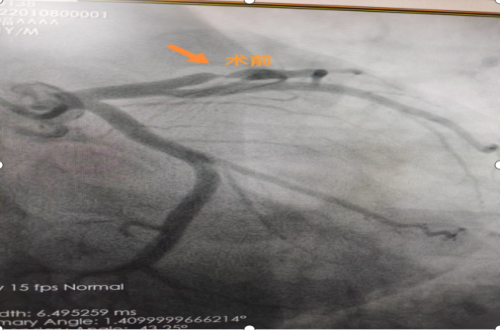
微创介入治疗,打通心脏血管“生命线”!
近日,我院微创介入中心手术室外,刚刚结束手术的心血管内科副主任龙泉杉疲倦的脸上挂着笑容,对守候在外的患者家属说:“手术很...
2023-08-10
我院获批互联网医院牌照
近日,我院正式获批“遂宁市第三人民医院互联网医院”,成为获得”互联网医院”服务资质的牌...
2023-08-10
我院党委书记何正光受邀参加中国人体健康科技促进会慢性气道疾病专业委员会第二届学术年会并担任主持人
(会议现场) 7月22日-7月23日,中国人体健康科技促进会慢性气道疾病专业委员会第二届学...
2023-08-09
我院举办理县来院进修医护人员结业典礼
8月4日,我院举办“遂理一家亲”对口支援理县进修结业典礼。理县卫健局党组成员、副局长张庆,理县卫健局副局长廖...
2023-08-05
我院党委书记何正光成功当选四川省中医药信息学会县级医院发展分会副会长
8月3日,院党委书记何正光带队参加四川省中医药信息学会县级医院发展分会第二届第一次会员代表大会暨学术年会。在省中医药信息学会县级医院...
2023-08-04
市三医院召开党委中心组(扩大)学习会专题传达学习习近平总书记来川视察重要指示精神
8月3日上午,我院召开党委中心组(扩大)学习会,专题传达学习习近平总书记来川视察重要指示精神及省委、市委、区委贯彻落实习近平总书记来川视察重要指示的相关会议精神...
2023-08-03
市三医院开展2023年度夏秋季征兵体检
8月2日上午,2023年度船山区夏秋季征兵体检工作在遂宁市三医院拉开帷幕,院党委副书记、院长康东,党委委员、副院长赵莉前往征兵体检现...
2023-08-03
市三医院召开卫生健康行业领域突出问题专项整治工作推进会
7月31日,市三医院召开卫生健康行业领域突出问题专项整治工作推进会,院领导班子,各党支部书记、支委委员,护士长及以上中层干部,职能科...
2023-08-01
市三医院开展儿童生长发育义诊活动
7月30日,遂宁市第三人民医院特邀知名专家、川北医学院附属医院主任医师、教授、小儿外科主任王城,携手我院妇儿中心儿科病区副主任周艳、主任医师黄玲玲开展儿童生长发...
2023-07-31
船山区总工会调研指导市三医院省级劳模创新工作
7月25日,船山区总工会党组书记、常务副主席贺俊美及党组成员、副主席李倩一行来到遂宁市第三人民医院省级劳模创新工作室,通过座谈、查看资料、实地参观等方式,调研指...
2023-07-29
市三医院开展2023年世界肝炎日义诊
为进一步提升全民对肝炎防治问题的关注,号召全社会积极行动起来,促进早预防、早检测、早治疗等综合措施的落实,...
2023-07-28
市三医院职工子女暑假托管班开班
7月20日,市三医院职工子女暑假托管班正式开班。暑托班教室内,身着统一校服的孩子们端坐在桌前,正在老师的带领下上一堂有趣的绘画课。这群“医二代”正式被医院“接管...
2023-07-28
市三医院开展“迎大运 保安全” 汛期安全隐患排查
7月27日遂宁市发布暴雨橙色预警,并启动II级防汛应急响应。按照响应要求,遂宁市第三人民医院后勤保障部立刻深入医院各防汛...
2023-07-27
市三医院开展医疗废物流失、泄露、扩散、意外发生应急预案演练
7月27日,我院开展了医疗废物泄露应急演练,本次演练根据“事件报告、现场评估、紧急处置、评价追踪、复盘总结”的流程进行。演练过程中各岗...
2023-07-27
以学铸魂 笃行奋进丨我院开展贯彻学习党的二十大精神暨廉政党课专题培训会
7月11日下午,我院开展贯彻学习党的二十大精神暨廉政党课专题培训会。船山区卫健局党委委员、遂宁市第三人民医院党委书记何正光以《红色大讲堂•书记讲党课&...
2023-07-11
共
1805
条 29/91 页
首页
上一页
上10页
21
22
23
24
25
26
27
28
29
30
下10页
下一页
尾页